在数字医疗诊断中,医用诊断显示器作为医生的 “第二双眼睛”,其性能直接影响病灶识别与诊断精准度。而 “灰阶响应” 作为核心参数之一,虽不如分辨率那般广为人知,却在细微病灶呈现中扮演关键角色。了解这一参数的本质与作用,对医疗机构选型和诊断质量提升至关重要。

一、医用诊断显示器 “灰阶响应” 的核心定义
灰阶响应,全称灰阶响应时间,指医用诊断显示器在不同亮度层次(即灰阶)之间切换的速度,通常以毫秒(ms)为单位计量。要理解这一概念,需先明确 “灰阶” 的含义 —— 它是屏幕从全黑(0 灰阶)到全白(255 灰阶或更高)之间的亮度层级,每个像素由红、绿、蓝三子像素的明暗组合形成色彩与层次。
普通显示器多为 8bit 面板,仅能呈现 256 级灰阶,而医用诊断显示器普遍采用 10bit 及以上面板,可实现 1024 级甚至更高灰阶显示。与传统黑白响应时间仅测量全黑全白切换不同,灰阶响应时间是不同灰阶间切换速度的统计平均值,更能反映医用诊断显示器的实际使用效果,是更科学的性能衡量标准。

二、灰阶响应在医疗诊断中的关键作用
1. 还原细微病灶信息
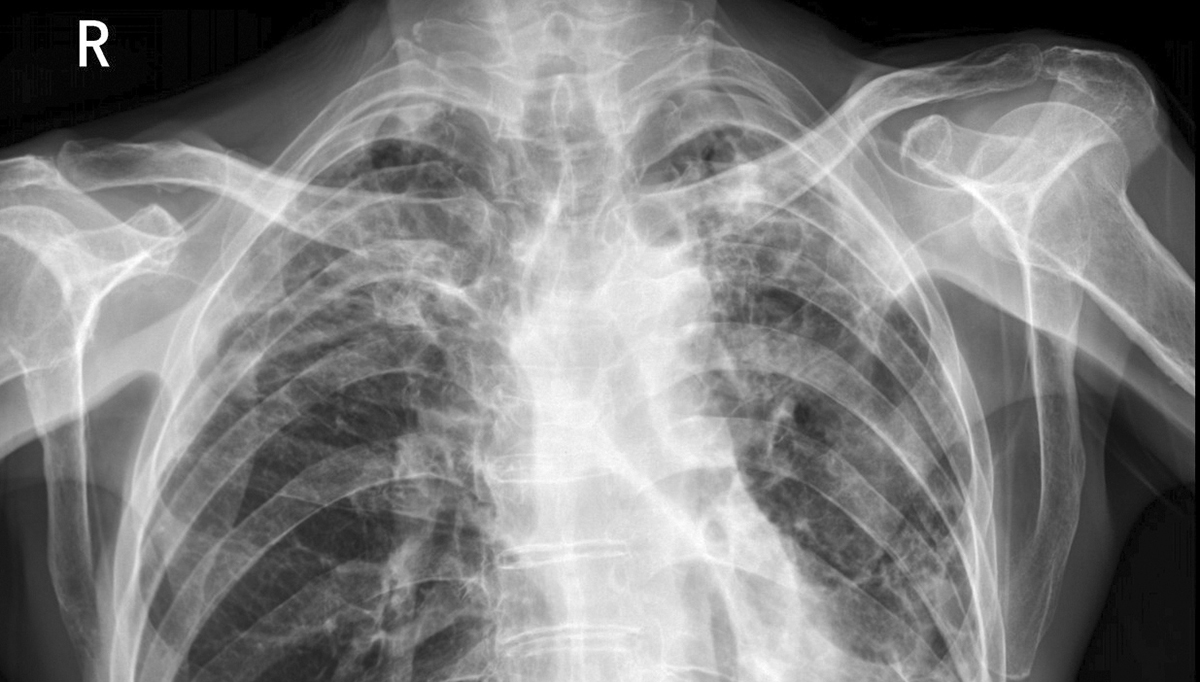
医学影像中,早期肿瘤、微小钙化点等病灶常表现为灰度差异极小的区域。医用诊断显示器的高等级灰阶响应能确保这些细微亮度变化被精准呈现,避免因灰阶过渡不连贯导致病灶遗漏。例如在胸部 CT 影像中,1024 级灰阶结合快速灰阶响应,可清晰区分正常组织与早期结节的灰度差异。
2. 保障诊断一致性与合规性
医用诊断显示器需符合 DICOM3.0 标准,而灰阶响应的稳定性是满足该标准的核心条件之一。快速且稳定的灰阶响应能确保不同时间、不同设备上显示的影像灰阶效果一致,避免因灰阶漂移导致诊断偏差,同时满足医疗影像诊断的合规要求。
3. 提升读片效率与医生体验
长时间读片时,缓慢的灰阶响应会导致画面拖影、模糊,增加医生视觉疲劳。医用诊断显示器的高效灰阶响应能让动态影像(如血管造影)流畅呈现,帮助医生快速捕捉血流变化等关键信息,既提升诊断效率,又降低视觉损耗。

在精准医疗理念下,医用诊断显示器的每一个参数都与诊疗结果息息相关。灰阶响应作为保障影像细节呈现的核心指标,其性能优劣直接影响病灶识别的准确性与诊断的可靠性。医疗机构在选型时,除关注分辨率、亮度等基础参数外,更应重视灰阶响应时间等专业指标,选择符合临床需求的医用诊断显示器。